Amazing Smile Transformations

















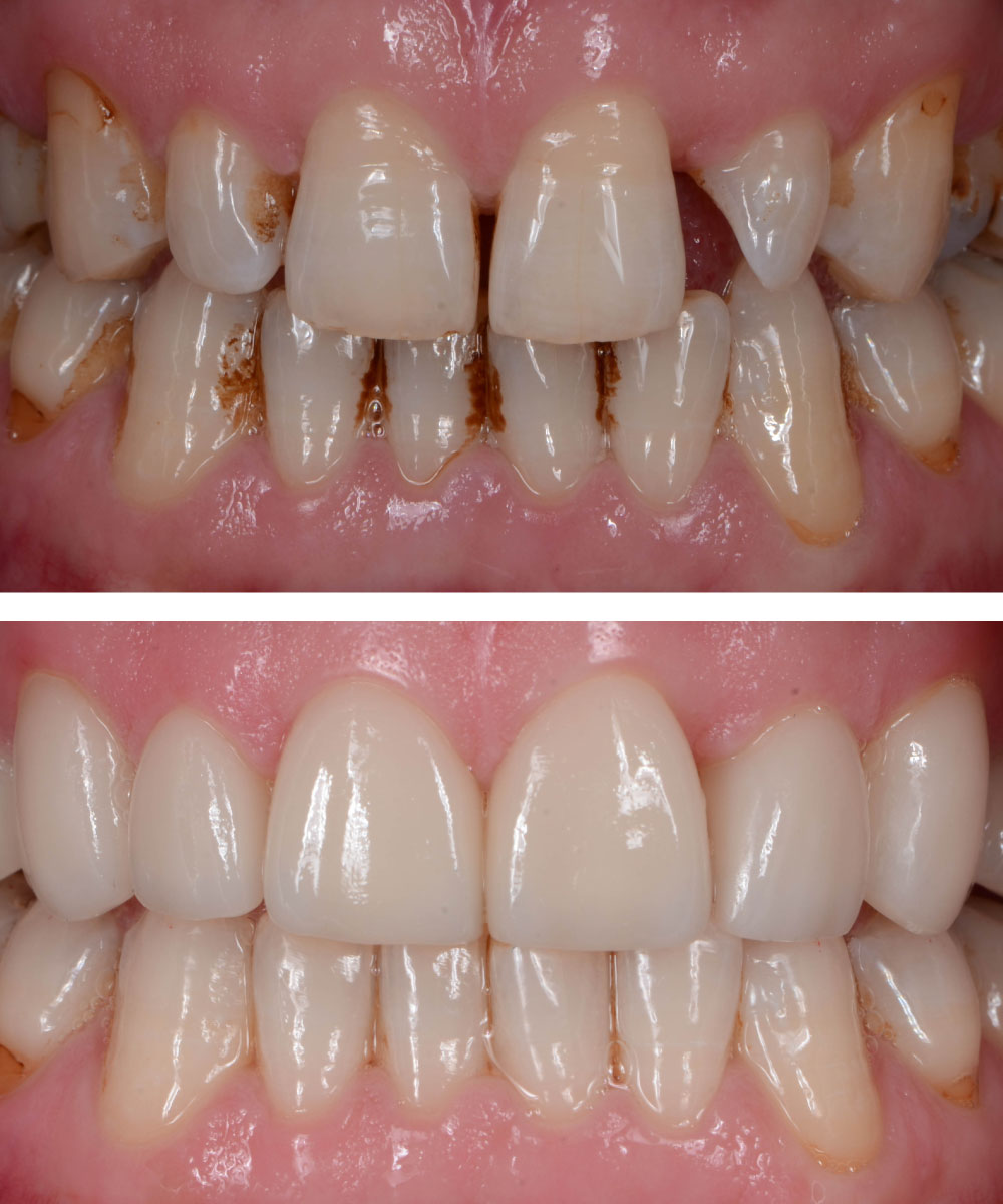
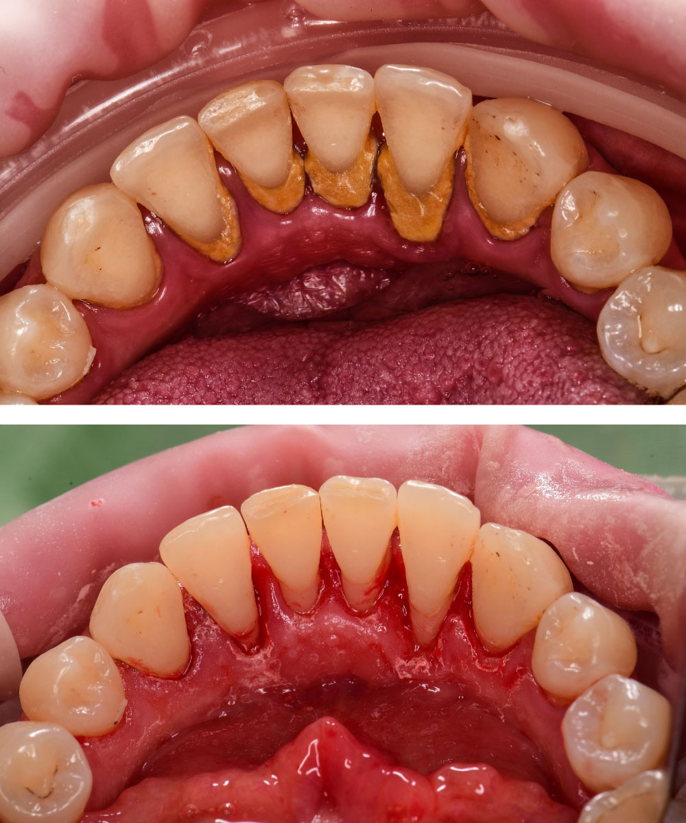
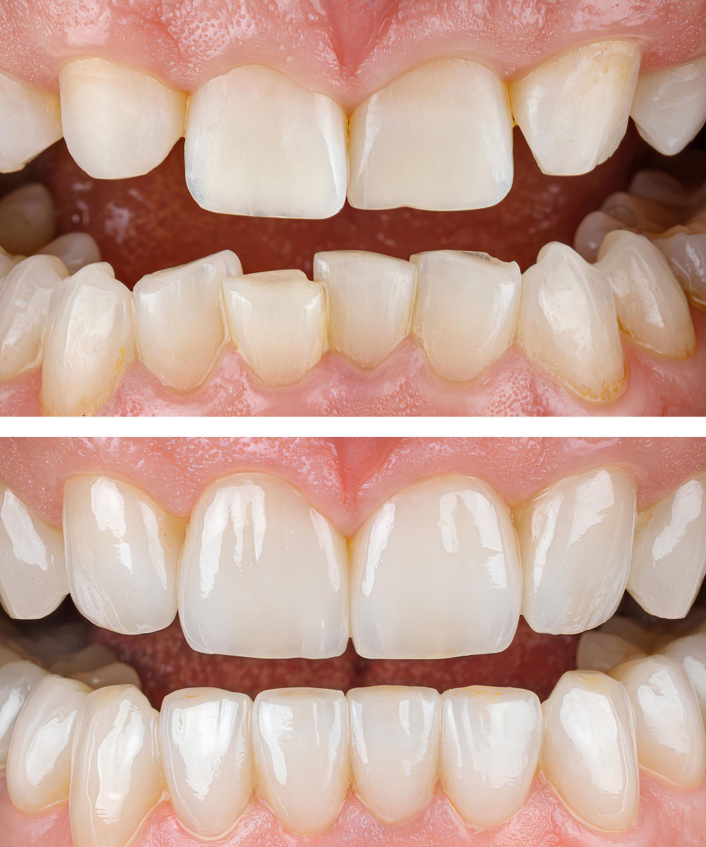
At Young Dental Care in Everett, we believe every smile has the potential to shine brightly. All these before and after cases here are the testament to the transformative power of modern dentistry and the personalized care provided by Dr. Young Park and our dedicated team. This is where you can truly visualize the incredible results we achieve for our patients right here in Everett, Mukilteo, Lynnwood, and Bothell.
We understand that choosing a dental provider, especially for significant changes like cosmetic dentistry or restorative procedures, requires trust and confidence. Our gallery is designed to inspire you and showcase the real-life improvements we've made for individuals just like you. From subtle enhancements to dramatic makeovers, these photos highlight the precision, artistry, and attention to detail that define Young Dental Care.
We understand that choosing a dental provider, especially for significant changes like cosmetic dentistry or restorative procedures, requires trust and confidence. Our gallery is designed to inspire you and showcase the real-life improvements we've made for individuals just like you. From subtle enhancements to dramatic makeovers, these photos highlight the precision, artistry, and attention to detail that define Young Dental Care.
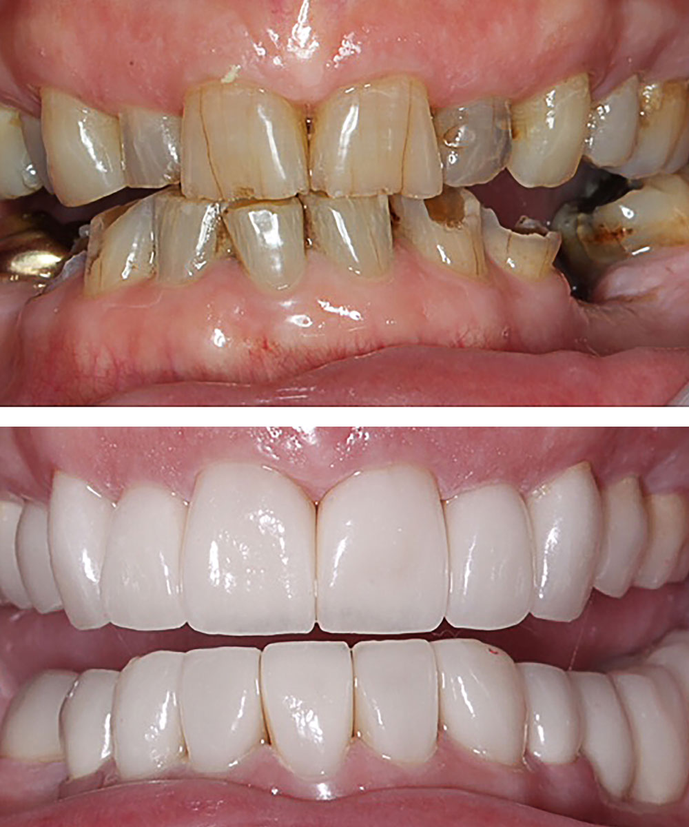
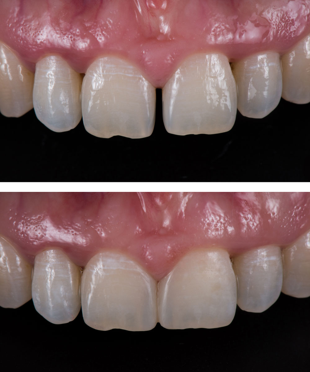
- Porcelain Veneers: Witness the incredible transformation of smiles with issues like discoloration, chips, gaps, or misalignments.
- Teeth Whitening: See how professional whitening can brighten smiles by several shades, revealing a more vibrant appearance.
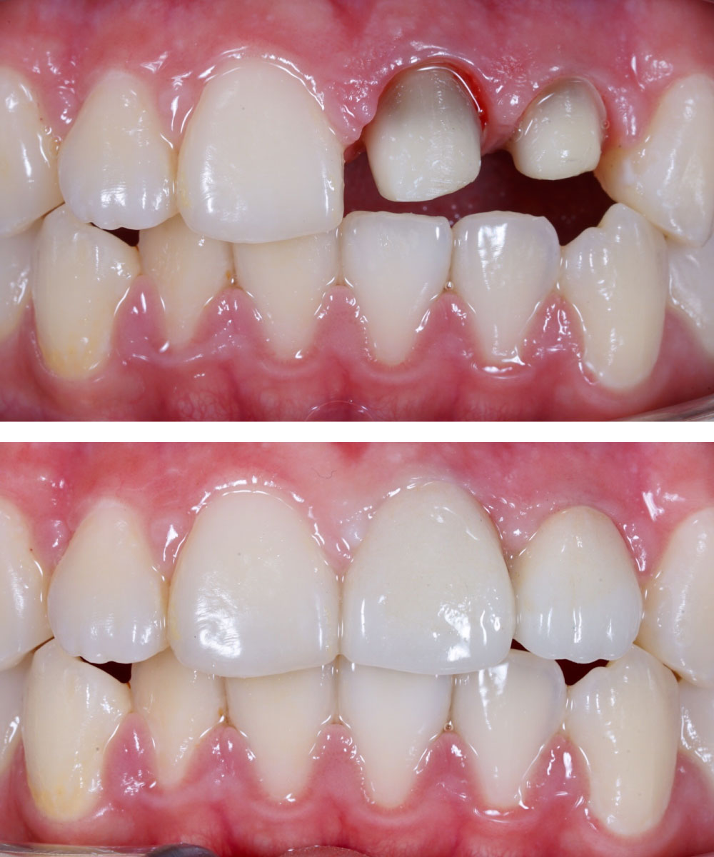
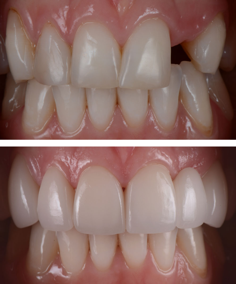
- Dental Implants: Observe how missing teeth are seamlessly replaced, restoring both function and aesthetics for a complete smile.
- Dental Crowns & Bridges: View the restoration of damaged or missing teeth, bringing back strength, shape, and a natural look.
- Orthodontic Results (including Clear Aligners): See the journey of teeth moving into beautiful alignment, enhancing both appearance and oral health.
- General Restorations: Examples of how routine procedures can dramatically improve a smile's health and beauty.
FAQs
What is Dr. Young Park's educational background and how long has he been practicing dentistry?
Dr. Young Park graduated from the University of Washington Dental School in 1995. He has been practicing dentistry for over 25 years, starting his own practice, Young Dental Care, in the Everett area in 2000.
What is Dr. Park's philosophy when it comes to patient care?
Dr. Park is dedicated to providing compassionate, patient-centered care. He believes in fostering a welcoming and judgment-free environment, taking the time to explain treatments thoroughly and empowering patients to make informed decisions about their oral health. His passion for dentistry drives his commitment to excellent care.
How does Dr. Young Park stay up-to-date with the latest dental advancements?
Dr. Park is deeply committed to continuing education, consistently investing in advanced training and mastering the latest dental technologies and techniques. He is also an active member of various professional organizations, including the American Dental Association, Washington State Dental Association, Snohomish County Dental Society, and Academy of General Dentistry, which helps him stay at the forefront of the field.
What does Dr. Young Park enjoy doing in his free time?
Outside of the dental office, Dr. Park enjoys an active and balanced life. He likes playing tennis, exploring the beautiful hiking trails in Washington, and unwinding by watching movies.
Disclaimer: Please note that the provided information above is based on general knowledge, and it's always recommended to consult with Dr. Young Park or our dental team for personalized advice and recommendations regarding your or your child's specific dental needs and conditions.
Book Now
Please fill out the form below, and someone from our team will get in touch with you as soon as we can to schedule your appointment.

